症例
症例



















一年前

一年後
| 治療回数 | 6回 |
|---|---|
| 年齢・性別 | 20代 女性 |
| 治療期間 | 4ヵ月 |
| 費用 | 精密根管治療 121,000円(税込) MTAセメント 27,000円(税込) 隔壁形成 22,000円(税込) CT撮影 16,500円(税込) |
















| 治療回数 | 6回 |
|---|---|
| 年齢・性別 | 20代 女性 |
| 治療期間 | 4ヵ月 |
| 治療費用 | 精密根管治療 121,000円(税込) MTAセメント 27,500円(税込) 隔壁形成 22,000円(税込) CT撮影 16,500円(税込) |

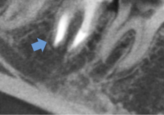
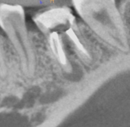
かぶせ物が不適であること(青矢印部)、近心根に根尖病巣があること(青枠部)、根充剤がかなり太いため(赤矢印部)歯質が薄くなっていることなど問題点がいくつかありましたが、他院で治療をしたばかりであり、また上記の条件から再治療には抜歯のリスクが非常に高いことから初診時は患者さんと相談し経過観察することになりました。

















| 治療回数 | 3回 |
|---|---|
| 年齢・性別 | 20代 女性 |
| 治療期間 | 1ヵ月半 |
| 治療費用 | 精密根管治療 121,000円(税込) MTAセメント 27,500円(税込) CT撮影 16,500円(税込) |

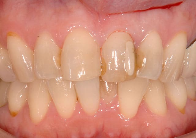
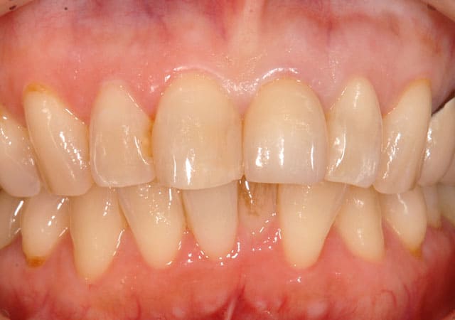
左上の前歯の見た目が気になることを主訴に来院されました。

虫歯を除去後、神経が露出しないように丁寧に削合しました。

仮歯に置き換え、見た目の確認をしてもらいました。
反対側に近い形となっており、元々の歯よりも大きいため、全体的に小さくしてほしいとの希望でした。


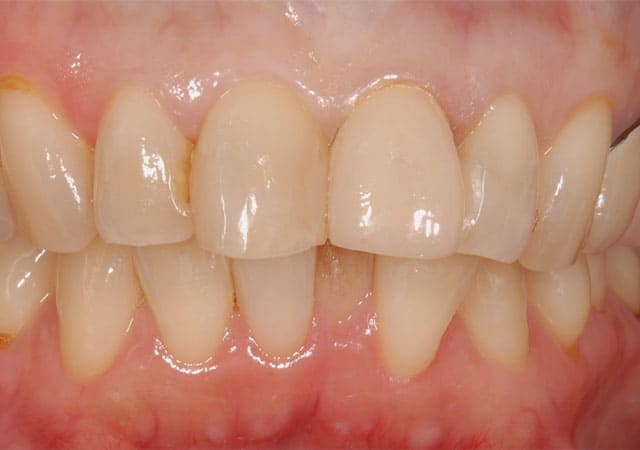
患者さんの希望を反映した補綴物が完成しました。


イボクリーンでアルコールでは除去できないタンパク質を分解する液体でかぶせものの内面を清潔にします。

患者さんの希望の色味、形となりとても満足いただけました。
| 治療回数 | 3回 |
|---|---|
| 年齢・性別 | 50代 女性 |
| 治療期間 | 1ヵ月 |
| 治療費用 | 165,000円(税込) |
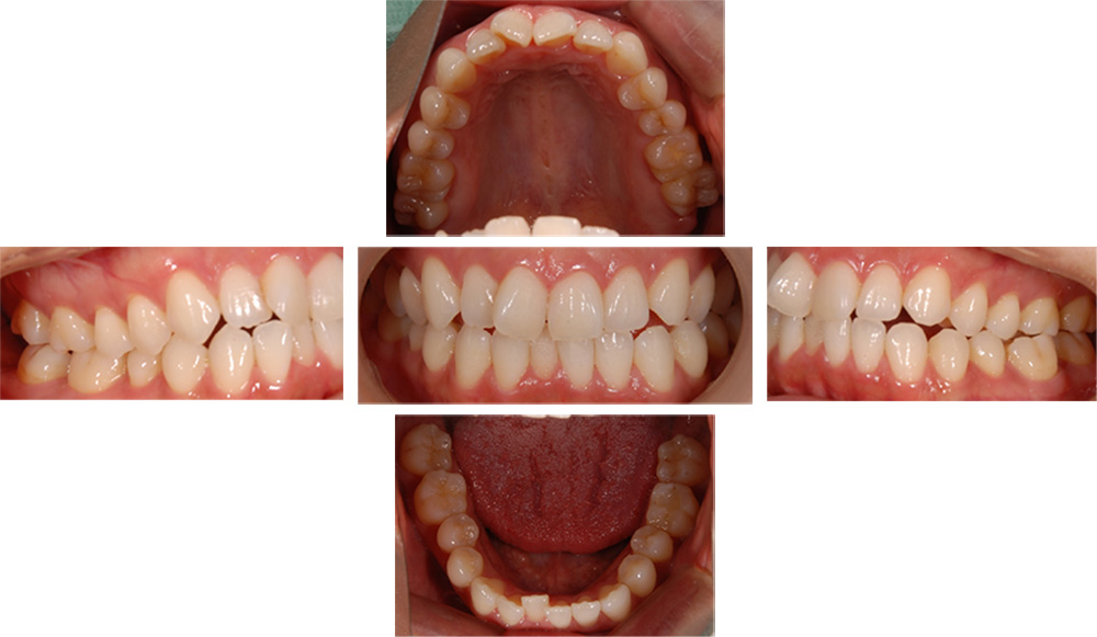
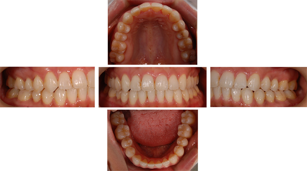
| 治療回数 | 36回 |
|---|---|
| 年齢・性別 | 30代 女性 |
| 治療期間 | 1年10ヶ月 |
| 治療費用 | 990,000円(税込) |
| 調整費 | 6,600円×来院毎(税込) ※2年目から |
TOP